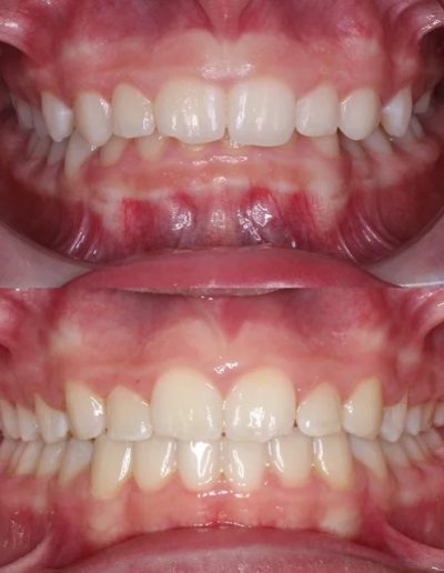
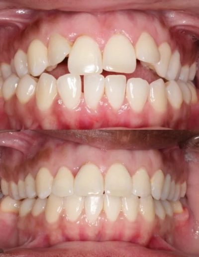
Smile Gallery
Smile Design Orthodontics, in Houston, TX
Your expert orthodontics team located at 13310 Beamer Road, Suite F, Houston, TX 77089.
Your Smile Journey Starts Here
Browse below to see smiles transformed by Dr. A.
Smile Design Orthodontics, in Houston, TX
Your expert orthodontics team located at 13310 Beamer Road, Suite F, Houston, TX 77089.